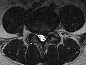
Jostas daļas diska trūce


L4-5 jostas daļas diska trūces piemērs magnētiskās rezonanses izmeklējumā.



Tādas izskatās izoperētās disku trūces. Pēc šādu trūču izdalīšanas muguras nervu saknītes tiek pilnībā atbrīvotas, līdz ar to sāpes izzūd.

Liela diska trūce 3 x 1.5 cm
Sinoviāla cista


Redzama L4-5 līmeņa sinoviāla cista


Pēc operācijas sinoviālā cista vairs nav redzama
Meningioma
Meningioma pieres pamatnē pirms operācijas



Pēc operācijas meningiomas vairs nav



Falx cerebri meningioma
Meningioma starp smadzeņu puslodēm pirms operācijas



Pēc operācijas meningiomas vairs nav



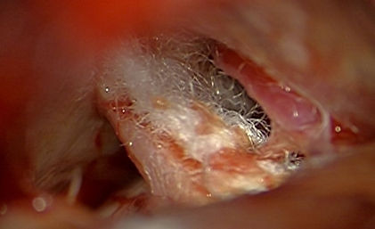
Trijzaru nerva neiralģija

Redzams neirovaskulārs konflikts - trijzaru nervs saskaras ar artēriju, nervs un artērija ietverti saaugumos. Šī asinsvada pulsācijas kairina nervu. Tādējādi rodas šaujošas sāpes sejā.
_JPG.jpg)
Saaugumi tiek pārdalīti, un asinsvads tiek atvirzīts no nerva.
_JPG.jpg)
Starp nervu un asinsvadu papildus tiek ielikta teflona starplika kā spilventiņš. Asinsvads nervu vairs nekairina, un sāpes sejā izzūd.
Trijzaru nerva neiralģija 2. gadījums

Redzams neirovaskulārs konflikts - artērijas cilpa
iespiežas nervā (a. cerebelli superior)

Artērija tiek aizvirzīta prom un starpā tiek ievietota telfona starplika. Sāpes sejā izzūd.
Trijzaru nerva neiralģija 3. gadījums




Muguras smadzeņu audzējs
_JPG.jpg)
Audzējs atrodas muguras smadzeņu priekšpusē un atspiež smadzenes uz mugurpusi.
_JPG.jpg)
Audzējs tiek izdalīts

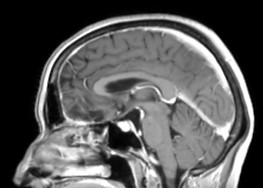
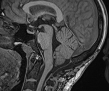
Chiari I malformācija

Pirmsoperācijas attēls. Redzama smadzenīšu noslīdēšana un saspiešanās ar muguras smadzenēm. Smadzeņu škidruma plūsma ir apgrūtināta.

Pēcoperācijas attēls. Redzama brīva telpa ap smadzenītēm, saspieduma vairāk nav. Smadzeņu škidruma plūsma ir netraucēta.
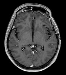
Glioblastoma - ļaundabīgs smadzeņu audzējs

Kreisā deniņa daivā redzams ļaundabīgs galvas smadzeņu audzējs pirms operācijas.

Kontrole pēc audzēja izdalīšanas no kreisās deniņa daivas - redzams pēcoperācijas dobums.

Fluorescences izmantošana operācijas laikā ar 5-ALA
(Gliolan) izmantošanu. Audzējs zilajā gaismā fluorescē
sarkanā krāsā (bultiņa).
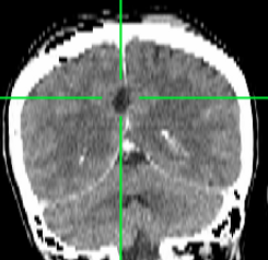
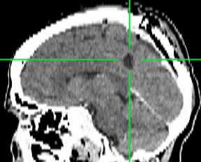
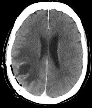
Spotāns intracerebrāls saasiņojums (hematoma)

Redzams saasiņojums smadzeņu vielā pirms operācijas

Pēcoperācijas attēls - saasiņojums no smadzenēm evakuēts
ETV - endoskopiska 3. vēderiņa ventrikulocisternostomija

Izveidota atvere 3. vēderiņa pamatnē okluzīvas hidrocefālijas gadījumā -
smadzeņu šķidrums brīvi pulsē.
Hidrocefālija likvidēta.
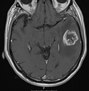
Galvas smadzeņu metastāze

Redzams metastāzes mezgls pirms operācijas
